432 West Foothill Blvd. Glendora, CA 91741


Welcome to Glendora Healthy Smiles
It can be challenging finding a dentist that can treat your entire family, from its youngest to oldest members. At the dental practice of Dr. Christine Shehata, DDS, we have extensive experience offering age-appropriate dental solutions for children, teens, adults, and seniors. From routine teeth cleanings to complex restorative procedures, we’re able to ensure the dental well-being of you and yours under one roof.
For years, we’ve had the privilege of offering our dental services to Glendora Healthy Smiles, San Dimas, Laverne, and their surrounding communities. We’ll sit down with you to craft a personalized treatment plan that’s reflective of your needs. Additionally, we enjoy answering questions and encourage you to ask them during your visit.
You can find our dental practice between W. Foothills Blvd. and S. Grand Ave. near Emanate Health Foothill Presbyterian Hospital. To better serve all our patients, we’re fluent in English, Spanish, French, and Arabic. Contact our office today to schedule your next appointment!
The Experts Behind Your Smile
Top-tier care tailored to your smile goals


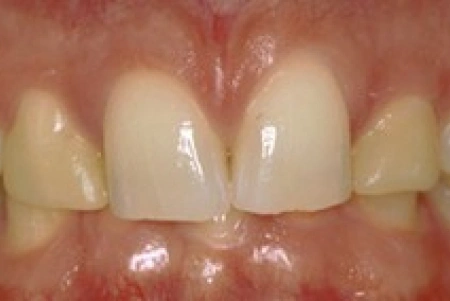
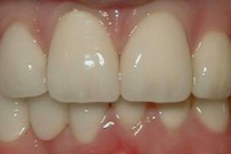
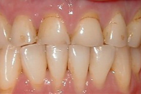
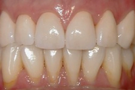
Transform Your Smile with Invisalign & Laser Precision
Personalized Dental Services for All Ages
At Glendora Healthy Smiles, we’re dedicated to combining modern dental techniques with warm, personalized care. Serving Glendora, San Dimas, and Laverne, our team is excited to welcome you to our practice. Conveniently located off Route 210, we look forward to helping you with your next dental step. Contact us today!
“SMILE NOW. PAY LATER”



True 0% apr for those that qualify
No Paperwork
30 SECOND APPROVAL!
85% GET APPROVED
NO HARD CREDIT CHECK
6, 12, 18 or 24 monthly payments
STRESS-FREE TO APPLY
Our Office Accepts all PPO insurance including major union plans






































